When he climbed in, however, nothing happened. Damadian was looking at years wasted on a failed invention, but one of his colleagues bravely suggested that he might be too big for the machine. A svelte graduate student volunteered to give it a try, and on July 3, 1977, the first MRI exam was performed on a human being. It took almost five hours to produce one image, and that original machine, named the "Indomitable," is now owned by the Smithsonian Institution.
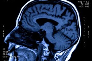
In just a few decades, the use of magnetic resonance imaging (MRI) scanners has grown tremendously. Doctors may order MRI scans to help diagnose multiple sclerosis, brain tumors, torn ligaments, tendonitis, cancer and strokes, to name just a few. An MRI scan is the best way to see inside the human body without cutting it open.
Learn More |
That may be little comfort to you when you're getting ready for an MRI exam. You're stripped of your jewelry and credit cards and asked detailed questions about all the metallic instruments you might have inside of you. You're put on a tiny slab and pushed into a hole that hardly seems large enough for a person. You're subjected to loud noises, and you have to lie perfectly still, or they're going to do this to you all over again. And with each minute, you can't help but wonder what's happening to your body while it's in this machine. Could it really be that this ordeal is truly better than another imaging technique, such as an X-ray or a CAT scan? What has Raymond Damadian wrought?
Advertisement




